Walsall and Birmingham's highest rated dental practice - we guarantee the best quality dental care at great prices! Full range of dental care available - we can do everything under one roof!

12 July 2021

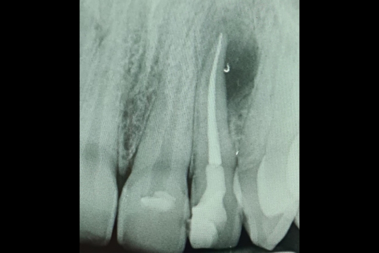
Root Canal Treatment

The example above is of a high-quality root canal undertaken by Dr Raj Koner. Root Canal Treatment is an important dental procedure to help relieve toothache and save…

Find out more

23 June 2021

Mouthwash Myths

A common misperception is that mouthwash is a necessity in your oral care routine. We explain why this is true only in some cases, but not all. The…

Find out more

28 May 2021

Teeth Whitening in Walsall

Teeth whitening is a popular dental procedure in the UK. More and more people are paying for brighter, whiter teeth. However, some of the ways to whiten your…

Find out more
logo gold circle symbol

Quickly match your needs with the right dental treatment using our simple treatment finder.

Walsall’s leading centre for dental implants and teeth straightening.

Book an appointment

GET IN TOUCH

Let’s start your journey today

Have questions or ready to book? Reach out, and our team will guide you every step of the way.

INSTAGRAM

See more smiles on our Instagram

Follow us on Instagram for real patient transformations, behind the scenes updates and the latest offers. It’s the easiest way to stay connected and inspired on your smile journey.

EXPLORE
Google Rating
4.9
Google Rating
Google-review