Walsall and Birmingham's highest rated dental practice - we guarantee the best quality dental care at great prices! Full range of dental care available - we can do everything under one roof!

We offer a smile improvement treatment at Church Lane Dental to improve the aesthetics, shape and colour of your teeth.

This includes teeth straightening, white fillings, veneers and tooth whitening. Whatever the treatment, we take the time to design your smile to suit your needs, your face and your budget.

Composite bonding is one way in which we can help improve your smile.

So what is composite bonding?

Composite bonding is when a white filling material is bonded to the surface of your tooth to repair chips, to improve the shade and shape, or even to close small spaces between teeth. Composite material is available in many different shades to ensure a seamless, natural restoration.

Composite bonding can be done in 1 visit with no tooth removal and is pain-free, making it minimally invasive.

The tooth surface is only just roughened to ensure a high-strength bond; the composite material is then placed and shaped to the ideal shape before being set in place. The restoration is then adjusted and polished with various pastes and finishing instruments to ensure a high gloss for a natural look.

For more information regarding this treatment
Call us 01922 622 483 OR Contact OR Book now

GET IN TOUCH

Let’s start your journey

What are the main benefits of composite bonding?

  • Composite bonding is minimally invasive (a minimal amount of healthy tooth reduction is required).
  • Immediate results – Composite bonding can often be accomplished in one visit.
  • Beautiful tooth-like appearance.
  • Can sometimes be done without any anaesthetic.

On your way to a happy and healthy smile!

If you would like to discuss how composite bonding can help improve your smile, call us today to schedule a consultation with our friendly team.

Watch our videos for insights, stories, and more

Our videos are a simple way to learn more about what we do. From helpful guides to real stories, they give you a clearer picture and make it easier to explore your options with confidence.

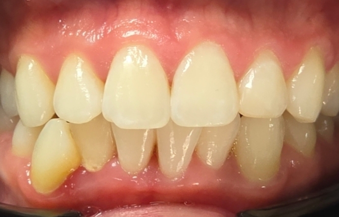
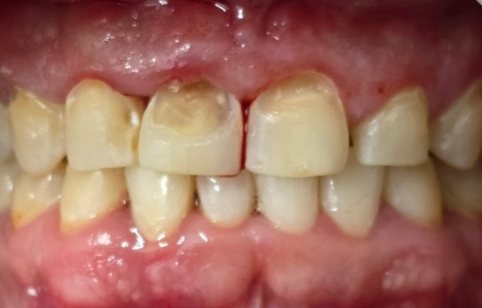
Cosmetic Bonding - Case 1 - Before Before
Cosmetic Bonding - Case 1 - After After

Cosmetic Bonding - Case 1

Composite bonding was done by Dr Raj to whiten this smile.

Get in touch
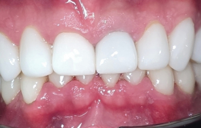
Cosmetic Bonding - Case 2 - Before Before
Cosmetic Bonding - Case 2 - After After

Cosmetic Bonding - Case 2

Porcelain veneers were used to whiten and brighten this smile.

Get in touch
Cosmetic Bonding - Case 3 - Before Before
Cosmetic Bonding - Case 3 - After After

Cosmetic Bonding - Case 3

Invisalign, followed by composite bonding, was used to create this straight, healthy, white smile.

Get in touch
Porcelain Veneers - Case 1 - before Before
Porcelain Veneers - Case 1 - after After

Porcelain Veneers - Case 1

Porcelain veneers were used to give an instant white smile and to fix the crowded…

Get in touch
Smile Makeover - Case 1 - before Before
Smile Makeover - Case 1 - after After

Smile Makeover - Case 1

Get in touch
Smile Makeover - Case 2 - before Before
Smile Makeover - Case 2 - after After

Smile Makeover - Case 2

Composite bonding was used to totally transform the decaying teeth into perfect pearly whites.

Get in touch
Cosmetic Bonding - Case 1 - Before Before
Cosmetic Bonding - Case 1 - After After

Cosmetic Bonding - Case 1

Composite bonding was done by Dr Raj to whiten this smile.

Get in touch
Cosmetic Bonding - Case 2 - Before Before
Cosmetic Bonding - Case 2 - After After

Cosmetic Bonding - Case 2

Porcelain veneers were used to whiten and brighten this smile.

Get in touch
Cosmetic Bonding - Case 3 - Before Before
Cosmetic Bonding - Case 3 - After After

Cosmetic Bonding - Case 3

Invisalign, followed by composite bonding, was used to create this straight, healthy, white smile.

Get in touch
Porcelain Veneers - Case 1 - before Before
Porcelain Veneers - Case 1 - after After

Porcelain Veneers - Case 1

Porcelain veneers were used to give an instant white smile and to fix the crowded…

Get in touch
Smile Makeover - Case 1 - before Before
Smile Makeover - Case 1 - after After

Smile Makeover - Case 1

Get in touch
logo gold circle symbol

Quickly match your needs with the right dental treatment using our simple treatment finder.

Walsall’s leading centre for dental implants and teeth straightening.

Book an appointment Back to Cosmetic Dentistry

INSTAGRAM

See more smiles on our Instagram

Follow us on Instagram for real patient transformations, behind the scenes updates and the latest offers. It’s the easiest way to stay connected and inspired on your smile journey.

EXPLORE
Google Rating
4.9
Google Rating
Google-review