Walsall and Birmingham's highest rated dental practice - we guarantee the best quality dental care at great prices! Full range of dental care available - we can do everything under one roof!

What are crowns?

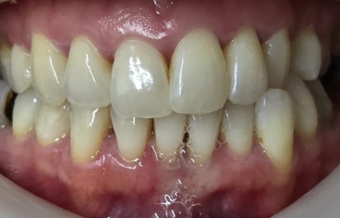
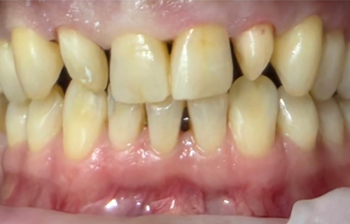
Crowns are the best way to strengthen your teeth and protect them against fracturing and breaking

They completely cover your tooth and so offer an excellent aesthetic improvement in the same way that veneers do.

We offer crowns as part of our smile improvement treatment, and we can use them to transform the shade, colour and shape of your teeth to deliver a more aesthetic result.

Crowns are also used when teeth are heavily broken down or filled to protect the tooth against fracturing and potentially being lost. We place crowns after root canal treatment to protect teeth from breaking.

For more information regarding this treatment
Call us 01922 622 483 OR Contact OR Book now

GET IN TOUCH

Let’s start your journey

What are the main benefits of crowns?

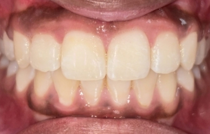
  • Crowns offer the highest level of strength and protection for teeth.
  • Crowns can improve the aesthetics of teeth, as we can customise the shade and shape of the crown to the appearance you desire.
  • Crowns can protect root canal-treated and heavily filled teeth from being lost.
  • Crowns retain their colour long-term and do not need to be regularly whitened.
  • Many people have old crowns done many years ago. These old crowns can be replaced with stronger and more aesthetic ones to improve your smile.

If you would like to discuss how crowns can help improve your smile, call us today to schedule a consultation with our friendly team.

Watch our videos for insights, stories, and more

Our videos are a simple way to learn more about what we do. From helpful guides to real stories, they give you a clearer picture and make it easier to explore your options with confidence.

Cosmetic Bonding - Case 1 - Before Before
Cosmetic Bonding - Case 1 - After After

Cosmetic Bonding - Case 1

Composite bonding was done by Dr Raj to whiten this smile.

Get in touch
Cosmetic Bonding - Case 2 - Before Before
Cosmetic Bonding - Case 2 - After After

Cosmetic Bonding - Case 2

Porcelain veneers were used to whiten and brighten this smile.

Get in touch
Cosmetic Bonding - Case 3 - Before Before
Cosmetic Bonding - Case 3 - After After

Cosmetic Bonding - Case 3

Invisalign, followed by composite bonding, was used to create this straight, healthy, white smile.

Get in touch
Porcelain Veneers - Case 1 - before Before
Porcelain Veneers - Case 1 - after After

Porcelain Veneers - Case 1

Porcelain veneers were used to give an instant white smile and to fix the crowded…

Get in touch
Porcelain Veneers and Clear Braces - Case 1 - before Before
Porcelain Veneers and Clear Braces - Case 1 - after After

Porcelain Veneers and Clear Braces - Case 1

Clear braces and porcelain veneers were used to correct this smile.

Get in touch
Porcelain Veneers and Clear Braces - Case 2 - before Before
Porcelain Veneers and Clear Braces - Case 2 - after After

Porcelain Veneers and Clear Braces - Case 2

Get in touch
Porcelain Veneers and Clear Braces - Case 3 - before Before
Porcelain Veneers and Clear Braces - Case 3 - after After

Porcelain Veneers and Clear Braces - Case 3

Clear braces and porcelain veneers were used to fix the crowded teeth.

Get in touch
Porcelain Veneers and Clear Braces - Case 4 - before Before
Porcelain Veneers and Clear Braces - Case 4 - after After

Porcelain Veneers and Clear Braces - Case 4

Porcelain veneers and clear braces were used to fix the crowded teeth.

Get in touch
Cosmetic Bonding - Case 1 - Before Before
Cosmetic Bonding - Case 1 - After After

Cosmetic Bonding - Case 1

Composite bonding was done by Dr Raj to whiten this smile.

Get in touch
Cosmetic Bonding - Case 2 - Before Before
Cosmetic Bonding - Case 2 - After After

Cosmetic Bonding - Case 2

Porcelain veneers were used to whiten and brighten this smile.

Get in touch
Cosmetic Bonding - Case 3 - Before Before
Cosmetic Bonding - Case 3 - After After

Cosmetic Bonding - Case 3

Invisalign, followed by composite bonding, was used to create this straight, healthy, white smile.

Get in touch
Porcelain Veneers - Case 1 - before Before
Porcelain Veneers - Case 1 - after After

Porcelain Veneers - Case 1

Porcelain veneers were used to give an instant white smile and to fix the crowded…

Get in touch
Porcelain Veneers and Clear Braces - Case 1 - before Before
Porcelain Veneers and Clear Braces - Case 1 - after After

Porcelain Veneers and Clear Braces - Case 1

Clear braces and porcelain veneers were used to correct this smile.

Get in touch
logo gold circle symbol

Quickly match your needs with the right dental treatment using our simple treatment finder.

Walsall’s leading centre for dental implants and teeth straightening.

Book an appointment Back to General Dentistry

INSTAGRAM

See more smiles on our Instagram

Follow us on Instagram for real patient transformations, behind the scenes updates and the latest offers. It’s the easiest way to stay connected and inspired on your smile journey.

EXPLORE
Google Rating
4.9
Google Rating
Google-review