Walsall and Birmingham's highest rated dental practice - we guarantee the best quality dental care at great prices! Full range of dental care available - we can do everything under one roof!

At Church Lane Dental, we believe that children deserve access to the highest levels of dental care.

Regular check-ups from a young age will ensure children won’t suffer from untreated dental decay. Studies have also shown that the younger the age at which you bring your child to the dental practice, even for a simple check-up, the more likely they are to have a positive experience and grow up with no dental anxiety or phobias, which leads to better dental health long term.

We reserve some NHS places for children and try to treat all those aged under 18 on the NHS.

Treating a child from an early age also allows the dentist to spot early signs of crowding, underbites, cross bites or overbites developing. As with most things, the sooner you can start to treat it, the quicker it can be resolved.

We also have an NHS Orthodontic contract at Church Lane, and so can provide braces to help straighten your child’s teeth.

As part of our family package, we aim to help reinforce a positive approach towards your children’s dental health. Prevention is always better than cure, so call the practice today to make an appointment for your child.

Family appointments

To make it easy for you and your family to visit us, we offer family appointments so that you can each be seen consecutively. Please mention that you would like a family appointment when you speak to a member of our reception team.

For more information regarding this treatment
Call us 01922 622 483 OR Contact OR Book now

GET IN TOUCH

Let’s start your journey

Invisalign - Case 1 - Before Before
Invisalign - Case 1 - after After

Invisalign - Case 1

Invisalign and composite bonding were used by Dr Raj to close the gaps between the…

Get in touch
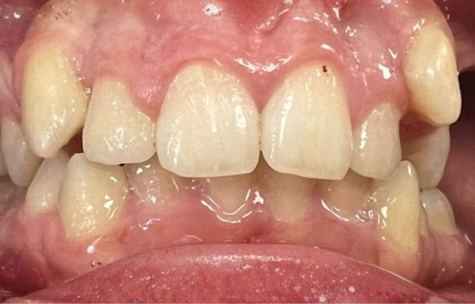
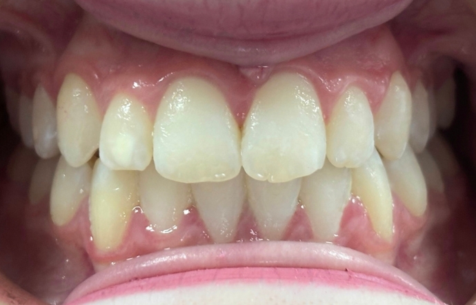
Invisalign - Case 2 - Before Before
Invisalign - Case 2 - after After

Invisalign - Case 2

Invisalign was used with no drilling composite bonding to transform this smile.

Get in touch
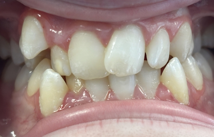
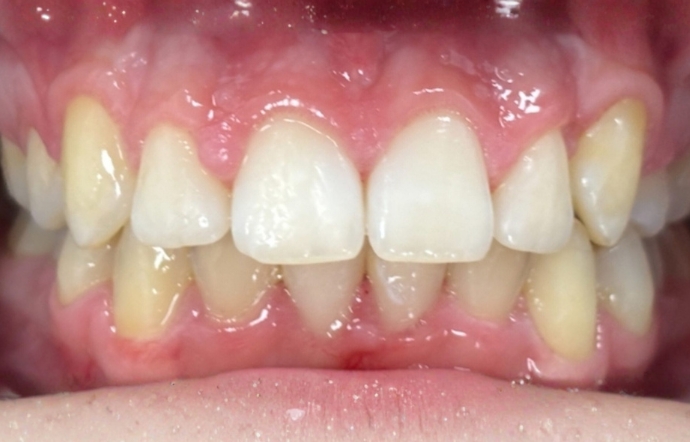
Braces - Case 1 - before Before
Braces - Case 1 - after After

Braces - Case 1

Braces were used to straighten these teeth.

Get in touch
Porcelain Veneers and Clear Braces - Case 1 - before Before
Porcelain Veneers and Clear Braces - Case 1 - after After

Porcelain Veneers and Clear Braces - Case 1

Clear braces and porcelain veneers were used to correct this smile.

Get in touch
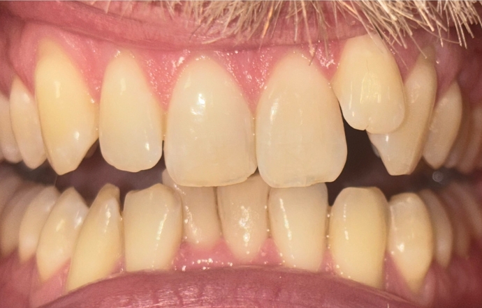
Porcelain Veneers and Clear Braces - Case 2 - before Before
Porcelain Veneers and Clear Braces - Case 2 - after After

Porcelain Veneers and Clear Braces - Case 2

Get in touch
Porcelain Veneers and Clear Braces - Case 3 - before Before
Porcelain Veneers and Clear Braces - Case 3 - after After

Porcelain Veneers and Clear Braces - Case 3

Clear braces and porcelain veneers were used to fix the crowded teeth.

Get in touch
Porcelain Veneers and Clear Braces - Case 4 - before Before
Porcelain Veneers and Clear Braces - Case 4 - after After

Porcelain Veneers and Clear Braces - Case 4

Porcelain veneers and clear braces were used to fix the crowded teeth.

Get in touch
Invisalign - Case 1 - Before Before
Invisalign - Case 1 - after After

Invisalign - Case 1

Invisalign and composite bonding were used by Dr Raj to close the gaps between the…

Get in touch
Invisalign - Case 2 - Before Before
Invisalign - Case 2 - after After

Invisalign - Case 2

Invisalign was used with no drilling composite bonding to transform this smile.

Get in touch
Braces - Case 1 - before Before
Braces - Case 1 - after After

Braces - Case 1

Braces were used to straighten these teeth.

Get in touch
Porcelain Veneers and Clear Braces - Case 1 - before Before
Porcelain Veneers and Clear Braces - Case 1 - after After

Porcelain Veneers and Clear Braces - Case 1

Clear braces and porcelain veneers were used to correct this smile.

Get in touch
Porcelain Veneers and Clear Braces - Case 2 - before Before
Porcelain Veneers and Clear Braces - Case 2 - after After

Porcelain Veneers and Clear Braces - Case 2

Get in touch
logo gold circle symbol

Quickly match your needs with the right dental treatment using our simple treatment finder.

Walsall’s leading centre for dental implants and teeth straightening.

Book an appointment Back to General Dentistry

INSTAGRAM

See more smiles on our Instagram

Follow us on Instagram for real patient transformations, behind the scenes updates and the latest offers. It’s the easiest way to stay connected and inspired on your smile journey.

EXPLORE
Google Rating
4.9
Google Rating
Google-review